Missing Tooth Solutions At Claregate Dental
Dentures by Our Expert In-House CDT in Wolverhampton
Steve Morris, our Clinical Dental Technician, works closely with you to craft dentures that feel natural and restore confidence. Unlike mail-order or remote options, you get face-to-face fittings, faster turnarounds, and expert aftercare. Every stage is tailored to you — we listen carefully, adjust as needed, and make sure your dentures look and feel right. You’ll always know what’s happening and what to expect, with support that continues long after your final fitting.
Benefits of Dentures & our CDT
Working with an in-house Clinical Dental Technician means your dentures are tailored with care and precision. They’re designed to fit comfortably, look natural and support your facial shape. Patients benefit from personal fittings, quick adjustments and ongoing support — giving them a smile they can rely on.
About BPS Dentures
What Is the BPS (Biofunctional Prosthetic System)?
BPS dentures are designed to mimic the natural function, movement and appearance of real teeth more closely than standard dentures. They use advanced materials and a carefully structured, multi-stage process to achieve exceptional comfort, stability and chewing efficiency. Every element — from impression technique to bite registration and tooth positioning — is engineered to create a precise, personalised fit.
Patients often notice that BPS dentures feel more secure, reduce sore spots and offer a more natural look when smiling or speaking. For anyone wanting a higher level of comfort, performance and long-term reliability, BPS is one of the most advanced denture systems available.
Dentures & our CDT
At A Glance
Time:
6-9 months
Price:
From £899
Appointments:
Multiple
Comfort:
High
Suitability:
Partial or full denture wearers
Dentures & Our CDT
Who We Help
Whether it’s your first set of dentures or time for a replacement, we’ll guide you through every step. We support:
- First-time denture wearers
- People with worn, broken or uncomfortable dentures
- Those needing a better fit, faster turnaround or more personal care
If you’re nervous or new to dentures, you’re not alone — we make the experience clear, calm and reassuring.
Pricing
Denture Prices & Options
We offer a range of dentures to suit different needs and budgets:
- Acrylic dentures (from £899)
- Chrome dentures (from £1700)
- Flexible options also available
We’ll walk you through the pros, cons and costs of each option. If you need repairs, relines or replacements, we’re here for that too. Payment plans are available to help spread the cost.
Get In Touch Book Online
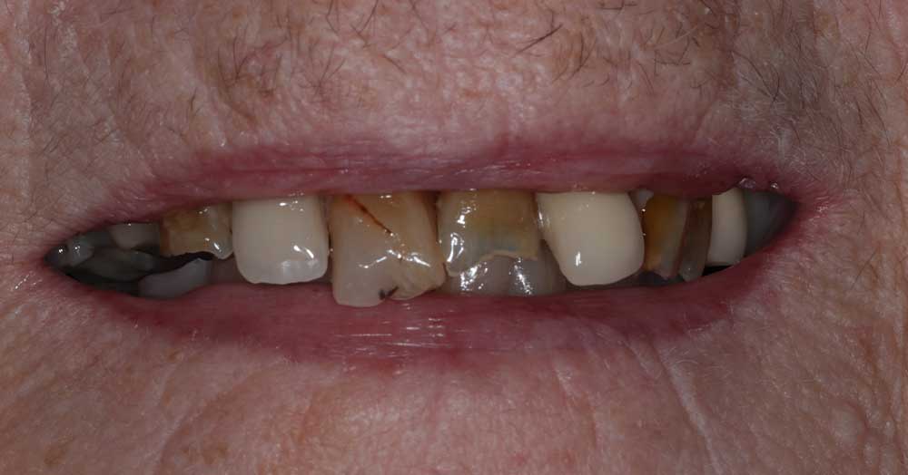
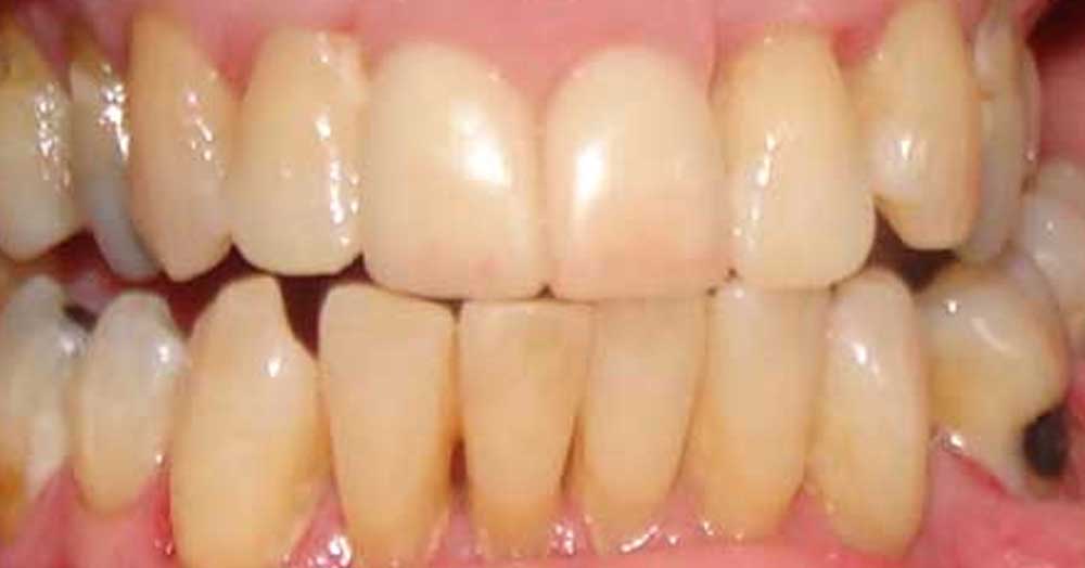
Before & After Gallery
Real Results
Before
After
Before
After
Dentures & CDT FAQs
All About Dentures & Our CDT
A Clinical Dental Technician (CDT) is a specially trained dental professional who designs, makes, fits, and adjusts dentures directly for patients. They are experts in denture care, comfort, and function.
No, you don’t need a referral. You can see our CDT directly for denture consultations, fittings, and ongoing care.
We offer a full range of dentures, including acrylic, chrome, flexible, partial, and full denture sets. Your CDT will recommend the most suitable option based on your needs, comfort, and lifestyle.
Denture treatment typically takes between 6–9 months, depending on the type of denture and the level of precision required for the best fit. This timeframe allows for careful adjustments to ensure comfort and function.
Yes, we provide emergency denture repairs whenever possible. If your denture breaks, cracks, or becomes uncomfortable, contact us as soon as you can for advice and prompt assistance.
Yes, we offer denture relines, repairs, and adjustments to improve fit and comfort over time. Regular reviews help ensure your dentures continue to fit well as your mouth naturally changes.
Yes. We offer flexible finance for new dentures.
It’s completely normal to feel nervous, especially if you’re new to dentures. Our CDT takes a gentle, understanding approach and will explain each step, ensuring you feel comfortable and supported throughout your treatment.
Get in touch
Ready for Better-Fitting Dentures?
Book your free consultation with our CDT and discover how natural, comfortable dentures can transform your confidence.
Why not download our FREE patient guide to Dentures too?
We also have a free patient guide to exploring options for filling spaces in the mouth.
Call us, book online, or WhatsApp us on 07721527691.
Call: 01902 754 525 Book Online




