Dental Implants at Claregate Dental
Trusted Implant Care in Wolverhampton
At Claregate Dental, you’re in experienced hands. We’ve been restoring smiles for decades and use the latest techniques to make your single tooth implant as smooth and stress-free as possible. You’ll get clear advice, gentle care, and support throughout your journey. Nervous? No problem — we’ll talk you through every step and make sure you feel relaxed.
Why choose dental implants
Benefits of Dental Implants
A single dental implant is a long-lasting solution that replaces a missing tooth with a result that looks, feels, and functions like a natural tooth. It restores everyday comfort while supporting your long-term oral health and confidence.
- Replaces missing teeth with a natural-looking, secure solution
- Restores comfortable chewing and clear speech
- Helps protect jawbone health and prevent bone loss
- Does not affect neighbouring teeth
- Long-lasting results with the right care
Single Dental Implants
At A Glance
Time:
6–9 months
Price:
From £3,000
Appointments:
2–3 main visits + reviews
Comfort:
Managed
Suitability:
Most adults
Single Implants
Who Can Get a Single Implant?
If you’re missing one tooth — from injury, decay, or a failed crown — a dental implant could be the ideal fix. You’ll need healthy gums and good bone density (we’ll check that during your scan). Implants are suitable for most adults and can last for decades. Not sure if you’re a match? Come in for a free consultation, and we’ll talk through your options.
Pricing
Single Implant Costs & Options
Our single tooth implants start from £3,000. That includes:
- Consultation & scan
- Implant, abutment, and crown
- Post-op care
We also offer long-term low-interest finance. Everything is explained clearly upfront. If bone grafting or prep is needed, we’ll walk you through that too. You’ll never be hit with surprise fees.
Get In Touch Book Online
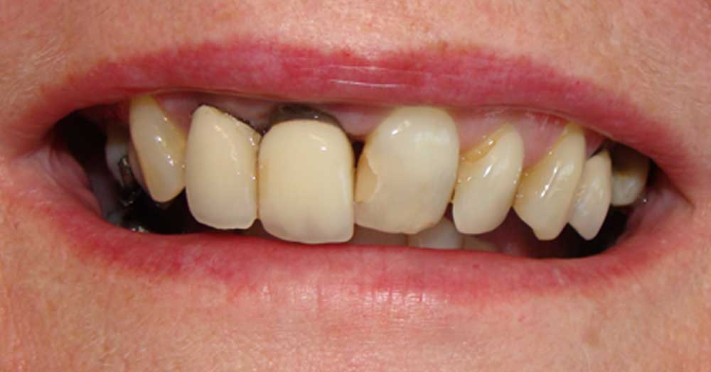
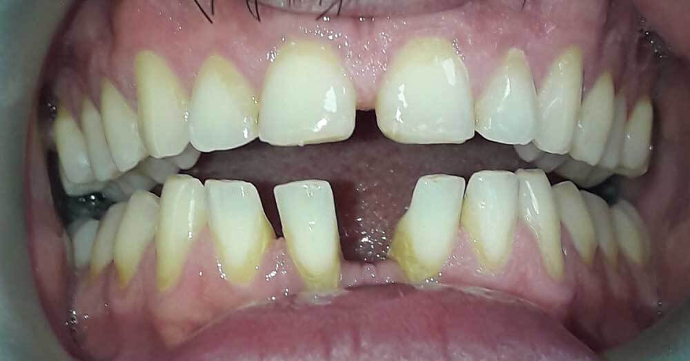
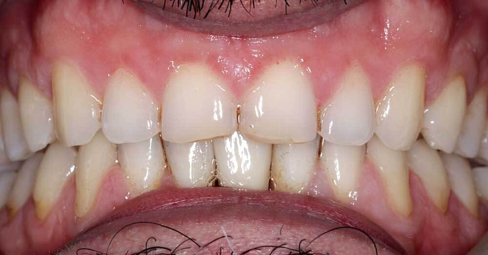
Before & After Gallery
Real Results
Before
After
Before
After
Before
After
Single Implants FAQs
All About Single Implants
Our single tooth implants start from £3,000, which includes the implant, abutment, and crown. This means everything needed to replace your tooth is included in the price.
The procedure is carried out under local anaesthetic, and most patients find it very comfortable. Some mild soreness afterward is normal but usually settles within a few days.
Single implant treatment typically takes several months from start to finish. This allows time for the implant to heal and integrate with the bone before the final crown is fitted.
Yes, the crown is carefully colour-matched and shaped to blend seamlessly with your natural teeth. Most people won’t be able to tell it’s an implant
Age is not usually a limiting factor for dental implants. As long as you’re in good general and oral health, implants can be a suitable option at almost any age.
If there isn’t enough bone to support an implant, a bone graft may be recommended. This helps create a strong foundation and can be discussed during your assessment.
With good care, implants can last decades. We’ll show you how to maintain it.
Yes. We offer flexible finance for 12 months and longer-term options.
Get in touch
Replacing a Tooth? Start Here
Book your free dental implant consultation today and take the first step toward a stronger, more confident smile that lasts.
Why not download our FREE patient guide to Dental Implants too?
We also have a free patient guide guide to exploring options for filling spaces in the mouth.
Call us, book online or WhatsApp us on 07721527691.
Call: 01902 754 525 Book Online




