Dental Hygiene Treatment at Claregate Dental
Gentle Hygiene, Personal Advice in Wolverhampton
We don’t rush, lecture, or shame. Just friendly, thorough hygiene care that’s all about you. Our experienced team takes time to clean thoroughly, explain clearly, and tailor advice to your smile. Whether you visit regularly or it’s been a while, we make it easy to get back on track. You’ll leave feeling fresher, more confident, and with the guidance you need to look after your teeth and gums day to day.
Benefits of Dental Hygiene
Regular hygiene visits keep your mouth feeling fresh and healthy. Deep cleaning supports gum health, prevents long-term problems, and removes stains for a brighter smile. Personalised advice helps you look after your teeth at home, giving you a cleaner, more confident feeling after every visit.
Guided Biofilm Therapy (GBT)
A More Comfortable, More Advanced Way to Clean Your Teeth
We’re proud to have been the first practice in the area to offer Guided Biofilm Therapy — and still one of the few who provide it today. GBT is a modern, patient-friendly approach that removes plaque (biofilm) using a gentle mix of warm water, air polishing and targeted dye to show exactly where bacteria are hiding.
This means a more precise clean, less scraping, and much greater comfort — especially for people with sensitivity, implants, braces or gum concerns. GBT leaves your teeth feeling incredibly smooth and fresh, with a noticeably brighter finish.
Because the biofilm is highlighted before treatment, nothing gets missed. Many patients tell us it’s the most comfortable clean they’ve ever had — and once they try it, they never want to go back.
Dental Hygiene
At A Glance
Time:
20–40 minutes
Price:
From £70
Appointments:
Single
Comfort:
Gentle
Suitability:
All patients
Dental Hygiene
Who Should See the Hygienist?
Everyone benefits from a professional clean now and then. Especially helpful for:
- People prone to tartar or bleeding gums
- Coffee, tea or tobacco stains
- Braces or dental implants
- Families managing oral health at home
Whether you’re keeping things fresh or tackling early gum disease, we’re here to help with clear advice and supportive care.
Pricing
Affordable Hygiene Care
Hygiene visits start from just £77. We also offer:
- Extended appointments for advanced cleans
- Packages with check-ups
- Care plans for inclusive care
We’ll advise on how often you need to come and help you stay on top of your gum health without breaking the bank.
Get In Touch Book Online
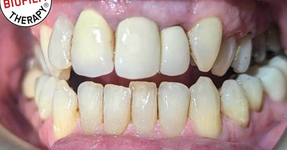
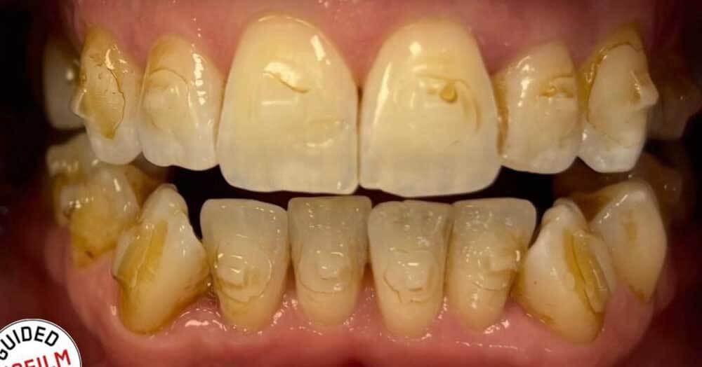
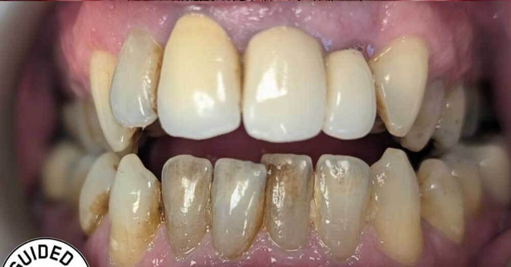
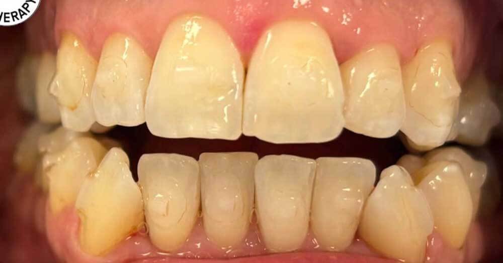
Before & After Gallery
Real Results
Before
After
Before
After
Frequently Asked Questions
About Dental Hygiene
Dental hygiene treatment is usually very comfortable. You may feel some mild sensitivity, especially if your gums are inflamed, but this is typically brief and well-tolerated.
Yes, you can book directly with our dental hygienist without first seeing a dentist. This makes it easy to stay on top of your oral health and routine cleaning.
Yes, dental hygiene visits are beneficial for children. They help establish good oral hygiene habits early and support healthy teeth and gums as they grow.
Most people benefit from a hygiene visit every 6 months, but some may need appointments more frequently. Your hygienist will recommend a schedule based on your individual needs.
Yes, hygiene treatments help remove surface stains caused by food, drinks, and smoking. This can leave your teeth looking cleaner and brighter.
Yes, bad breath is often linked to plaque build-up or gum disease. A hygiene appointment can help address the underlying causes and improve breath freshness.
X-rays are not always needed for hygiene visits. If they are required, your dental team will explain why and ensure they are clinically appropriate.
Yes — hygiene can be covered with our private monthly plans.
Get in touch
Ready to Feel Fresh?
Book your dental hygiene appointment today and enjoy a brighter, cleaner, healthier smile with gentle care and personalised advice.
Why not download our FREE patient guide to Gum Health and Dental Hygiene too?
Call us, book online or Whats app us on 07721527691.
Call: 01902 754 525 Book Online




